THE GENTLE DENTAL PRACTICE

Dental & Facial Treatments

Dr Issy Mahmoud

 
 

 

DENTAL

Only the highest standard of laboratory and dental materials are used for all my work.

Restoration of broken down and missing teeth, using porcelain and gold inlays, crowns and bridges.
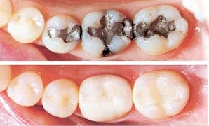
White fillings (Mercury Free)
Disguising discoloured teeth or rotated anterior teeth with facings or veneers.
Lightening dark teeth with controlled bleaching.
Maryland bridges which are adhesive and require very little tooth preparation
Provision of complete or Dental Implants, including metal skeletal designs.
Prevention using flouride treatments, fissure sealants and diet services as well as oral hygiene instructions, scaling and polishing by the hygienist.
Use of fibre-optic camera to enable you to come to an informed  decision regarding any course of treatment you wish to undertake.

 

 

 

Tooth Coloured Fillings

Teeth Whitening

Veneers

 

Questions you may have about teeth whitening.


Is It Safe?

Yes. Whitening your teeth under the supervision of your dentist, has been proven safe in clinical studies over a period of many years.

 

How does it work?

Your dentist will take impressions of your teeth that will allow for custom trays to be made for your teeth whitening procedure. The Opalescence SP Plus gel is placed in these these thincomfortable trays and fitted over your teeth.

 

How long does it take?

Your dentist will go over what you can expect from your individual situation.

 

Are there any side effects?

There are a small number of people that could experience increased sensitivity to hot or cold during the whitening process. This is temporary and can be treated with ibuprofen or another product your dentist may have. The sensitivity would normally go away within the first 48 hours after the whitening process is completed.

 

How long will it last?

The duration of your results depends largely on you. The results may be permanent. Practice good oral hygiene and brush normally, especially after consuming staining foods and beverages and your results could last for years. If you use staining substances like coffee, tobacco and red wine wine you may require periodic touch-ups for one or two days every couple of years.

 

 

 

Dr Issy Mahmoud

72 Harley Street

London

W1G 7HG

Copyright Dr. Issy Mahmoud BDS 2024

tel. 020 7935 3668

fax. 020 7934 3615

email. info@drissy.co.uk

HOME   -   THE SURGERY   -   DENTAL   -   FACIAL   -   PRICE LIST   -   CONTACT